بیماری کرونا در سی تی اسکن چگونه نشان داده میشود؟
 
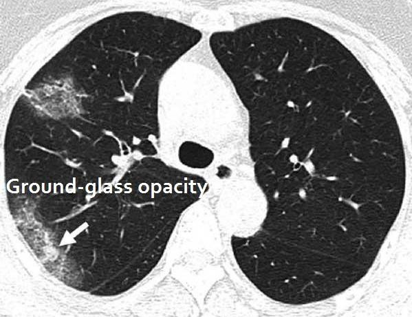
                                    در علم پزشکی به این لکهها، کدورت شیشه مات (Ground-glass opacity) گفته میشود. فردی که به این ویروس مبتلا نباشد، رنگ ریههایش در سی تی اسکن کاملا سیاه است
این لکهها برای چه به وجود میآیند؟
لکههای به وجود آمده در نتیجه آزمایش سی تی اسکن بیمار مبتلا به کرونا نشان دهنده ایجاد مایع در ریههای فرد و درگیری آنها با ویروس است. حال میزان درگیری ریهها به تشخیص پزشک معالج فرد مبتلا اعلائم میشود.
چه زمانی سی تی اسکن انجام دهیم؟
انجام این تست باید به دستور پزشک انجام شود. با اینکه این تست تشخیص بیماری کرونا را راحت تر میکند. اما باید حواستان باشد که برای گرفتن این عکس، به بدن شما اشعه وارد میشود. این تشعشعات بی ضرر نیستند. بعضی افراد بدون توجه به این موضوع به طور مداوم  سی تی اسکن میگیرند. این تشعشعات ممکن است باعث جهش سلولها و ایجاد سرطان شود، به علاوه در خانمها ریسک ابتلا به سرطان سینه را افزایش میدهد.



نظر شما :